

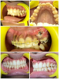
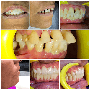
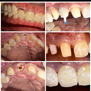
- TREATMENTS:
Gum Disease Space Closure
- INFO:
Crown treatment for 62-year-old male with gum disease-induced spaces, addressing food lodgement and sensitivity

- TREATMENTS:
Invisalign Treatment
- INFO:
24-month orthodontic treatment for 12-year-old using clear aligners

- TREATMENTS:
Fast Braces with Surgical Intervention
- INFO:
12-month treatment for 14-year-old with unerupted canine, including surgical exposure

- TREATMENTS:
Twin Block Treatment
- INFO:
4-year treatment for 8-year-old with underdeveloped lower jaw using modified twin block

- TREATMENTS:
Fast Braces
- INFO:
12-month treatment for 21-year-old with severe crowding and proclined teeth

- TREATMENTS:
Composite Veneering
- INFO:
Single-visit treatment for 24-year-old with fluorosis discoloration of canine teeth

- TREATMENTS:
Post-Braces Restoration
- INFO:
Composite chairside veneering for 22-year-old with discoloration after braces

- TREATMENTS:
Malo Bridge Implants
- INFO:
Implant treatment for 40-year-old with atrophied ridge using titanium frame and zirconia crowns

- TREATMENTS:
Emergency Composite Repair
- INFO:
Single-visit composite restoration for 27-year-old male with chipped tooth

- TREATMENTS:
Implant Overdentures
- INFO:
Bar-supported overdentures for 68-year-old female with thin atrophied ridge

- TREATMENTS:
Fast Braces Extraction
- INFO:
9-month treatment for 12-year-old with Class II malocclusion using premolar extraction

- TREATMENTS:
Full Mouth Rehabilitation
- INFO:
One-week treatment for 62-year-old with multiple failed restorations and gum problems

- TREATMENTS:
Bridge Replacement
- INFO:
Custom bridge work for 43-year-old respecting natural tooth anatomy

- TREATMENTS:
Full Mouth Crowns
- INFO:
Complete crown treatment completed in one week with three appointments

- TREATMENTS:
Two-Stage Implant
- INFO:
Single tooth replacement with two-stage implant for 30-year-old female

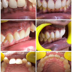
- TREATMENTS:
Comprehensive Periodontal Treatment
- INFO:
Month-long treatment for 55-year-old combining flap surgery, bridges, and implants

- TREATMENTS:
Deep Implant Restoration
- INFO:
Custom zirconia implants for 43-year-old with low bone density

- TREATMENTS:
Direct Pulp Capping
- INFO:
Conservative treatment for 16-year-old with deep caries near pulp

- TREATMENTS:
Pediatric Composite Restoration
- INFO:
Composite treatment for 13-year-old with chipped front teeth

- TREATMENTS:
Malo Bridge System
- INFO:
Fixed restoration for 60-year-old female using implant-supported titanium frame

- TREATMENTS:
Skeletal Open Bite Treatment
- INFO:
Braces treatment for 20-year-old with skeletal open bite

- TREATMENTS:
Fast Braces Alignment
- INFO:
6-month treatment for 25-year-old with retroclined centrals and crowding

- TREATMENTS:
Invisalign Correction
- INFO:
11-month clear aligner treatment for 28-year-old with crowding

- TREATMENTS:
Full Mouth Malo Bridge
- INFO:
Complete restoration for 58-year-old using implant-supported bridge

- TREATMENTS:
Crown Restoration
- INFO:
Crown treatment for 16-year-old with broken teeth

- TREATMENTS:
Fast Braces Correction
- INFO:
11-month treatment for 15-year-old with proclined teeth

- TREATMENTS:
Twin Block Therapy
- INFO:
12-month treatment for 10-year-old with defective lower jaw growth

- TREATMENTS:
Aesthetic Crown Work
- INFO:
Crown treatment for 50-year-old with discoloration and spacing

- TREATMENTS:
Smile Design with Fast Braces
- INFO:
11-month treatment for 26-year-old to restore smile line

- TREATMENTS:
Periodontal Smile Design
- INFO:
Combined flap surgery and bridge work for 58-year-old's smile improvement

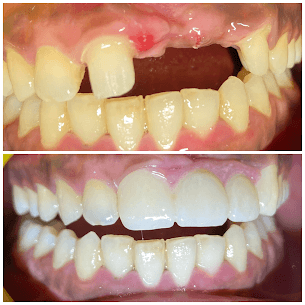
- TREATMENTS:
Trauma Bridge
- INFO:
Immediate bridge for 33-year-old with traumatic tooth and bone loss

- TREATMENTS:
Aesthetic Bridge
- INFO:
Bridge with gum ceramic for 28-year-old's front teeth replacement

- TREATMENTS:
Vertical Dimension Restoration
- INFO:
Crown treatment for 60-year-old male with severe tooth attrition

- TREATMENTS:
Periodontal Crown Treatment
- INFO:
Combined flap surgery and crowns for 62-year-old with gum disease

- TREATMENTS:
Conservative Invisalign
- INFO:
8-month treatment using IPR technique for 30-year-old female

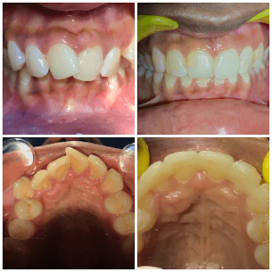
- TREATMENTS:
Surgical Orthodontics
- INFO:
8-month treatment for mesiodens removal and alignment

- TREATMENTS:
Fast Braces for Crowding
- INFO:
10-month treatment for severe tooth crowding

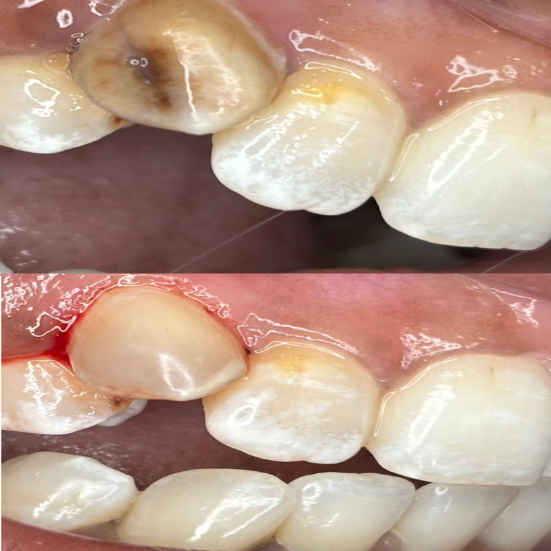
- TREATMENTS:
Complex Restoration
- INFO:
Multi-stage treatment with RCT, post and crown for broken fluorosed tooth

- TREATMENTS:
Early Intervention
- INFO:
6-month reverse pull headgear treatment for 8-year-old with forward lower jaw

- TREATMENTS:
Quick Composite Solution
- INFO:
30-minute painless composite treatment for midline space closure

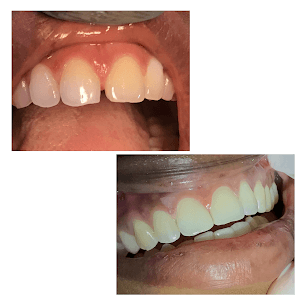
- TREATMENTS:
Senior Invisalign
- INFO:
6-month clear aligner treatment for 58-year-old's space closure
Call Us for an Appointment
Schedule Your Appointment Today for a Healthy and Bright Smile!Your Best Dental Care in Madurai Awaits!